Sheep breeders offered CT scans to boost flock performance
31st January 2024
SRUC Edinburgh is offering CT scanning of rams in Scottish flocks, with QMS covering 50% of the cost per ram.

The use of computer tomography (CT) alongside ultrasound scanning is being increasingly used within Scottish sheep flocks when understanding the genetic potential of performance recorded pedigree terminal sires.
This spring, SRUC Edinburgh will be CT scanning rams within Scottish flocks, with QMS covering 50% of the cost per ram, for a minimum of five and maximum of 15 rams per flock.
QMS head of industry development, Bruce McConachie says: “Used in both humans and animals, CT scanning is a diagnostic process, completely safe for animals.
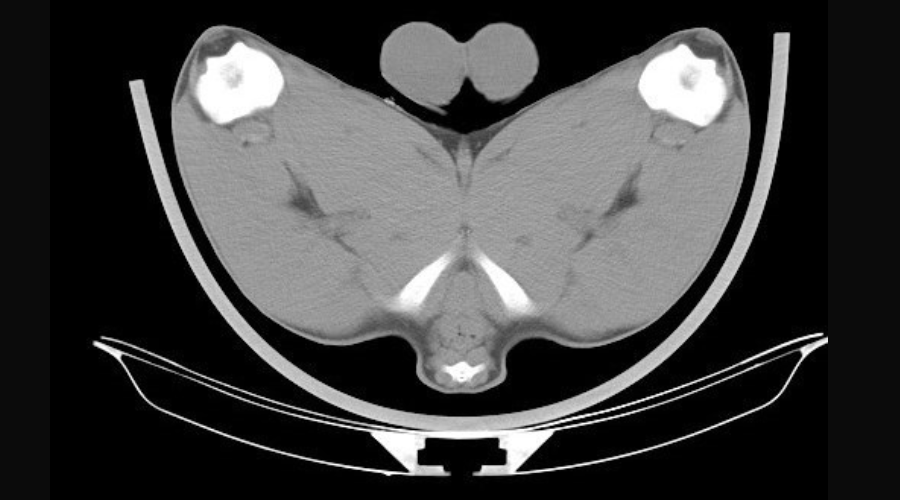
“The CT scanning machine mimics a carcase grader used in abattoirs, measuring the diameter of certain muscles at fixed points around the carcase, calculating muscle dimensions, muscle volume, bone density, internal fat, spine length and pelvic dimensions.
“An x-ray tube moves slowly around the animal, taking cross sectional images of the entire body. These images allow specific anatomical locations and measurements to be recorded as key performance traits, which can aid breeders’ decision-making process when selecting sheep, particularly rams.
“These measurements can help to predict the final carcase performance of that animal, and therefore forecast that animal’s expected progeny profile and performance. The resulting measurements inform the key traits for terminal breeding stock being sold within the industry.
“There is nearly a 30% difference in Eye Muscle Area between the average in breeds, and up to 60% difference in Eye Muscle Area within a breed,” explains Bruce. “These differences illustrate the value of selecting genetically superior rams which are at the top of this range, to make faster genetic progress in important commercial traits like Eye Muscle Area.”
Real benefit from data
Various traits can be measured using a CT scanner, and each breeder can discuss specific requirements with the technician undertaking the scanning process.
Bruce said: “Commercial sheep farmers can really benefit from this data when selecting rams which have undergone CT scanning. Prospective purchases can be viewed online through Signet Breeding Services, ranking rams based on specific genetic traits.
“Individual animal results are recorded as Estimated Breeding Values (EBVs), with options to select breeding rams with desired performance traits. This detailed and accurate information helps to inform future progeny performance and therefore flock performance. After narrowing ram choices down based on desired EBVs, some farmers will then select a favourite ram from those, by eye.”
Perthshire farmers Neil and Debbie McGown, said: “We have CT scanned 15 texel rams per year, over 15 years. We have used and not used a number of rams specifically on the data gleaned. The ram with the deep eye muscle ultrasound measurement but a poor muscle area because it tailed off quickly, saved a costly mistake, and the ram with phenomenal width, depth of muscle and high meat:bone ratio will have a lasting impact in our flock and many other Scotch lamb producers.”
Projects utilising CT scanning technology have wide ranging practical benefits, such as the ability to breed sheep with a naturally low carbon footprint through selecting genetics based on rumen size, measured via CT scanning. The data can be used to inform the wider understanding of breeding sheep with lower methane emissions traits.
SRUC Edinburgh offers CT scanning for sheep breeders based in Scotland. Rams must be at least 40kg and recorded pedigree terminal sire breeds. A minimum of five animals and maximum of 15 ram lambs are permitted per flock or business.
Mobile sites can be booked for a minimum of two days at each session, with 50 lambs per day booked in for scanning. Please check the Signet Breeding Services website for 2024 scanning dates which will be added as they are confirmed.
Dates offered for scanning at SRUC Edinburgh are:
- 17-18th April
- 13th May – 1st June
- 10-12th June
- 8-10th July
- 5-7th August
- 18-19th September
- 30th September – 3rd October.
Earlier dates may be available if required, for more information or to book please contact: SRUC senior technician and manager, Kirsty Mclean: CTUnit@sruc.ac.uk T: 0131 535 3250 or QMS industry development co-ordinator, Lesley Mitchell: lmitchell@qmscotland.co.uk T:07741150964
Read more livestock articles here
